HOME | 検査内容 | エコー検査

ABOUT Ultrasonography

エコー検査について

超音波により人体を可視化します。X線は使用せず、被ばくはありません。
乳房や甲状腺などの小さな病変や心臓、血管など動きのある臓器の診断に適しています。
各検査内容につきましては以下を御覧ください。また、検査を受けられる方は検査前の注意事項をご確認ください。

エコー装置画像

Ultrasonography :エコー(超音波)検査

当院で可能な検査一覧です。

 

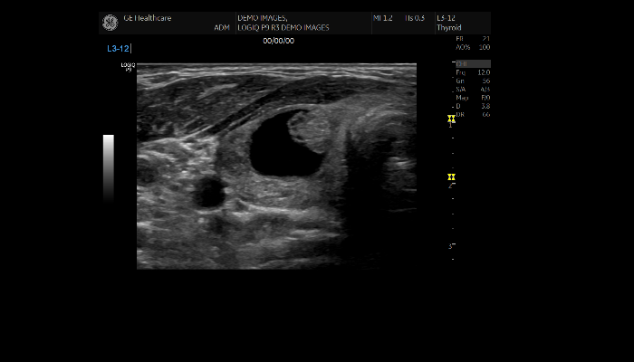
エコー検査装置 エコー検査装置GE社製エコー検査装置 心臓エコー 心臓心臓の動きや心臓弁膜症を調べます。 乳腺エコー 乳腺高濃度乳房の方はマンモグラフィでは病気が見つけにくいことがあります。エコーと併せて評価をお勧めします。 腹部エコー 腹部肝臓、胆嚢、膵臓、腎臓、脾臓など腹部の重要臓器を調べます。 頸部エコー 血管頸動脈の狭窄や下肢の静脈の流れを見ます。脳梗塞や深部静脈血栓症のリスクを調べます。 甲状腺エコー 甲状腺甲状腺腫瘍やバセドウ病など甲状腺疾患を調べます。   
   

 Precoution for US

 腹部、乳腺のエコー検査を受けられる方へ

 

腹部検査を受けられる方

  • 検査の5時間前より飲食はお控えください

 

乳房検査を受けられる方

  • インプラントを挿入している方、過去に乳房の手術を受けられている方は事前にお申し出ください

 

診療時間のご案内

 
診療日  ○  ○  ○  ○  ○  ○  
脳神経外来 9-12

14-17
      9-12    
乳がん画像診断外来  ○  ○  

※土曜の乳腺外来実施日はお知らせをご確認ください。
当院では外国語(英語、ポルトガル語など)に対応しています。
Our clinic supports English.
Nossa clínica fala português.
当院はバリアフリーです。
授乳やおむつ替えのスペースをご用意しています。お気軽にスタッフにお声かけ下さい。
 

 
435-0056静岡県浜松市中央区小池町1790
 TEL : 053-411-1790
 FAX : 053-411-1791
 
instagram
 

 

平日 8:30 - 18:30
土曜 8:30 - 14:00
( 30分前最終受付 )
      休診日 日曜・祝祭日  

 

 

診療時間のご案内

 
診療日
脳神経
外来
9-12
 
14-17
      9-12
 
乳がん
画像診断
外来
○  ○   ○
※土曜の乳腺外来実施日はお知らせをご確認ください。
当院では外国語(英語、ポルトガル語など)に対応しています。
Our clinic supports English.
Nossa clínica fala português.
当院はバリアフリーです。
授乳やおむつ替えのスペースをご用意しています。お気軽にスタッフにお声かけ下さい。
 

 
435-0056静岡県浜松市中央区小池町1790
 TEL : 053-411-1790
 FAX : 053-411-1791
 
instagram
 

 

平日 8:30 - 18:30
土曜 8:30 - 14:00
( 30分前最終受付 )
      休診日 日曜・祝祭日